俄罗斯贵宾会集团

俄罗斯贵宾会·(中国)集团

千例征程,始于瓯岳 | 温医大附二院左心耳封堵技术培训班首期圆满毕业

颁布功夫:2023.06.08
返回列表

1.gif


近日,由荆州医科大学从属第二医院(以下简称“温医大附二院”)主办的“瓯岳论路——左心耳封堵技术培训班”首期活动于人文之城荆州顺利召开 。本次培训班以“教有特色、学有价值、课有新意、CASE有亮点”为培训宗旨,特邀温医大附二院心内科主任官学强教授担任致辞嘉宾,由心血管内科副主任李岳春教授担任会议主持,携手温医大附二院的多位驰名专家,以主题授课与手术演示结合的方式,共享学术新见解,互换手术经验与技巧 。本次活动吸引了业内专家同路的关注,近二十位学员齐聚荆州,现场求知氛围浓烈,掀起左心耳封堵领域学术热潮 。


11.png




1.深入理论意识 夯实操作基础


22.jpg33.jpg


培训活动在官学强教授和李岳春教授的简短致辞下拉开帷幕 。来自温医大附二院本院的李嘉教授、刘咏芳副主任李进副主任胡有东副主任以及李岳春教授任授课讲师,以温医大附二院单中心的左心耳封堵医治团队建设及成就为开场首课,别离从左心耳封堵适应症及患者选择,食路超声在左心耳封堵中的利用,LAmbre?产品介绍和尺度操作流程解析,左心耳封堵术并发症的预防、鉴别与处置,左心耳封堵分歧影像下的房距离穿刺技巧,COAT术式手术操作技巧等内容传经送宝,分享自己在临床中的贵重经验 。


111.jpg1111.jpg

11111.jpg111111.png

1111111.jpg111111111.jpg

11121.jpg




2.实战下见真章 领悟LAAC操作技要


1.jpg2.jpg

3.jpg


作为本次培训活动的沉头戏,李岳春教授为各人带来了5例实战手术演示,别离为1台单封、1台单封血栓封堵和3台一站式手术 。


44.png

▲血栓位于心耳中段




4.png        5.png

▲半发展固定伞,推送至锚定位锁死血栓




6.png        7.png

开释后,DSA与TEE观察均无残存分流




8.png

实现后取出脑;ぷ爸,均未见血栓





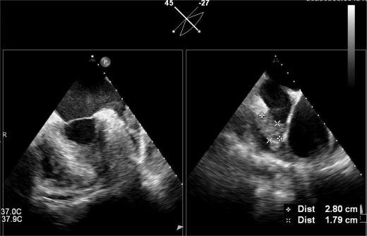
其中首场公开演示的左心耳血栓封堵病例拥有极高难度,患者术前TEE显示左心耳血栓形成伴机化,血栓位于心耳中段,近中端絮状物显著 。封堵机遇只有一次,选型和操作稍有失误,城市增长手术风险 。因而手术采取全麻,并装置了抗栓塞脑动脉;ぷ爸,以削减术中风险 。通过TEE疏导下丈量左心耳大幼以及确认左心耳血栓地位,李岳春教授凭借自身丰硕经验最终决定使用LAmbre 2632型号,选取推送式植入法将左心耳血栓牢牢锁死于远端,并且封堵器一次成型,封堵成效极佳,实现后取出脑;ぷ爸,均未见血栓,顺利实现了此台高难度的手术,获得了学员们的一致认可 。



9.jpg


术后,李岳春教授具体解析每一关键步骤,并总结操作技巧倾囊相授 。通过这几场真实的临床手术实操演示,与会学员们更深刻地理解了LAAC技术的难点和重点 。


10.jpg


恰逢温医大附二院于近日实现了左心耳封堵手术1000例的新突破,李岳春教授与学员们一起进行了千台庆典典礼 。这次千例LAAC突破,对温医大附二院而言是一大荣誉里程碑,不仅代表患者对术者和院方信赖之深厚,也彰显了术者经验堆集之重大,证实了LAAC作为一项房颤预防性措施为患者带来的切实获益 。


李岳春教授会后总结路:“近二十余位学员深度参加这次培训活动,通过理论与实际结合的培训 ?槎宰笮亩舛率踅辛讼低承越,为其自身把握该项技术打下坚实的基础 。本次活动的圆满进行折射出宽大心血管病医师对LAAC技术的进建需要和周到,将来温医大附二院将持续进行多场培训活动,与临床医师们携手并进,以带头左心耳封堵术在周边地域共同进取 。”



教授简介


11.png

- 李岳春 -



医学博士,主任医师,博士生导师,荆州医科大学从属第二医院心血管内科副主任,国度卫健委心律变态染指培训导师,左心耳封堵全球带教专家 。中华医学会心电生理和起搏分会中青年电生理工作委员会委员,中华医学会心电生理和起搏分会左心耳封堵工作委员会委员,中国医促会心律与心电分会全国委员,中国房颤中心同盟左心耳封堵工作组常委,中国心律学会左心耳封堵学组委员,浙江省心血管病学会心源性卒中学组副组长 。首批浙江省高校领武士才,浙江省高校中青年学科带头人,浙江省151人才第二档次,浙江省卫生创新人才,浙江省首届医坛新秀,荆州名医 。


【网站地图】